First toe valgus deformity most commonly affects women of mature age but can also affect men.A deformed thumb base is unsightly.In this condition, the person feels physically unwell and, in the advanced stages, suffers from pain.Deviation of the big toe is the result of uneven body loading on the foot.This change can adversely affect the feet and other fingers.
Cause of bending

Bunions don’t happen for no reason.This pathological phenomenon appears and develops under the influence of various reasons.Bunions most commonly affect people who are genetically predisposed to the condition.The doctor pointed out that the reasons for the deformity of a toe are as follows:
- Being overweight.
- Endocrine diseases.
- Osteoporosis.
- flatfoot.
- diabetes.
- psoriasis.
- arthritis.
- Hormonal changes during pregnancy and old age.
- Wear tight shoes.
- The particularity of the profession forces a person to endure increased physical activity on the legs every day.
Stages and varieties
Doctors consider three stages of disease progression:
- Slight valgus deviation.Redness and minor abrasions appear on the skin.Feeling uncomfortable when walking.
- The growth is clearly visible on the thumb.Swelling and pain were observed.
- This form of the disease is considered advanced.People are often troubled by unbearable pain in the big toe and the entire foot and the appearance of keratinized skin.The pain does not go away even during sleep.
The occurrence of unpleasant bunions is influenced by many factors.Experts have identified the following types of finger deformities as a separate category:
- Cross deformity.Curvature occurs in different directions.Fingers crossed.
- The degree of flexion of a joint keeps it in a flexed position.In the first stages of pathological development, the fingers can be forced to straighten with the help of hands.If treatment is not started at this time, the finger will become stiff and the hand will no longer be able to straighten.It is impossible now without surgery.
- Taylor deformity.Pathology affecting the little finger.It is characterized by growths on the bones.
- The bend of the phalanx, resembling a hook.

Experts believe ballet dancers are at risk for developing bunions.Dancing on your toes can increase pressure on your toes, causing them to curl.Improper gait can also lead to poor outcomes.Triggers can intensify even as we age.
diagnostic methods
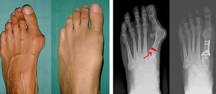
If visual examination and x-rays do not give any results, refer the patient to plantar photography to identify possible flat feet.The method involves taking fingerprints of the feet and, on this basis, making shoes or insoles with orthopedic properties for the patient.Then give the patient a pedometer.The method uses computer analysis to determine the pressure a person's weight puts on the feet.Advanced diagnostic results are the basis for choosing a treatment for first and second toe curvature.
The disadvantage of X-ray examination is that it requires irradiation of the patient's legs, which many patients do not like.They believe this approach is too harmful.In this regard, effective treatment of hallux valgus cannot be initiated without the results of plantar radiography.

This is the best way to diagnose information.With its help, the doctor can determine not only the presence of flat feet, but also the condition of the arches.Computerized examination is the most effective way to detect flat feet.
In the first stage of identifying big toe and little toe valgus, your doctor will perform a visual inspection.This determines the stage of development of the pathology.To determine detailed changes in the joints, X-rays and plantars are performed.
drug treatment
It is best to start gentle treatment of the foot as well as the big toe before the final stages of pathological development occur.Experts know how to treat this pathology, but they do not know how to cure advanced forms of the disease without surgical intervention.First, the doctor determines the cause of the crooked finger and whether there are complicating factors.It is known that the task of pharmacotherapy includes symptomatic treatment.This means pain, inflammation and swelling are eliminated.
Most commonly, patients are prescribed nonsteroidal anti-inflammatory drugs.In addition to their primary function, they can reduce pain and fever.When complications occur, hormonal corticosteroids are often used.If the deformity of the fingers is due to internal disease, the joints can be corrected after the underlying disease is healed.In this case, endocrinologists are involved in solving the problem together with other highly specialized specialists.Many people try to cure themselves using folk remedies, forgetting that this is possible only in the initial stages of the development of the pathology.
If lesions are detected in the initial stages, the bent thumb can be straightened with the help of devices such as plastic or silicone pads with orthopedic properties.During treatment, you should wear soft, roomy shoes.To straighten curved fingers, orthotics, arch supports, and other orthotics are needed.Deformed fingers are fixed with special splints, rings, caps and combs.With the help of such devices, the fingers are fixed in the correct position.Thanks to the orthopedic retainer, the finger is no longer deformed.
There are two ways to treat bunions.The first is a painless correction of the deformity that does not require surgical intervention and rehabilitation, and the second is surgical treatment.
Surgical treatment methods

Bunions can be completely cured only with the help of a surgeon's scalpel.Sometimes just one surgery is enough and the patient forgets about the problem forever.Doctors will perform surgical intervention based on the type of bunion deformity.The most common types of operations are:
- External osteotomy.Only specific parts of the metatarsal bones are removed.
- Excisional arthroplasty.The terminal portion of the metatarsal bone is removed.
- Osteotomy.It is used to remove the metatarsal bones as well as small portions of the phalanges.
- resection.The goal of surgery is to remove the affected soft tissue and then transplant healthy tissue into its original location.
- Arthrodesis.Provides forced immobilization of joints.
- Distal osteotomy.The surgery involves reducing the angle between the joints.
- Removal of the inflamed bursa of the big toe.
- Install the implant.
The recovery period after surgery can last up to seven weeks.During these weeks, special precautions are usually taken.First, these therapeutic exercises can promote:
- Improve health;
- Reduce pain when walking;
- Increase leg muscle tone;
- Install and secure the deformation joint in its natural position.
The duration of the recovery period usually depends on the complexity of the surgery.To speed recovery, you should start moving your fingers the next day.After a week, the patient was able to stand up and take precautions to move slowly.The main thing is to avoid prolonged stress.
After surgery, you will need good, soft, roomy shoes.It was purchased on the recommendation of a doctor.By the way, if you start therapeutic exercises at the very beginning of a bunion, not only will no surgical intervention be required, but there will also be no need to waste money on various devices, ointments and medications.
Experts say surgical treatment options can bring almost 100 percent positive results.This gentle treatment requires no anesthesia and causes no stress or psychological distress.However, painless treatments cannot save a person from the final stages of the disease.
Precautions

Prevention is simple - wear comfortable shoes with wide toes that don't put pressure on your toes.Joints and feet, in particular, are able to withstand the weight accumulated during human growth without causing damage.Therefore, monitoring your weight is important to avoid obesity.
One of the effective preventive exercises is as follows: a person sits in a chair with his feet on the floor and moves them with his fingers.
The next exercise is to walk barefoot on the floor, alternating between toes and heels.
Simple gymnastics are quickly mastered, leading to more complex physical exercises.You can then perform actions such as picking up a pencil or any other object from the floor.
Instead of waiting in line at a medical facility for your doctor to recommend an effective treatment, you can prevent thumb deformation.























